症例20代 女性 口元が出ている
25歳 | 女性 | 治療期間:2年7ヵ月上下顎前突 (口元がもっこり)
25歳の女性で、前歯のでこぼこを主訴に来院されました。矯正用ミニスクリューを併用し、上下顎両側小臼歯4本抜歯にて、矯正治療を行い、2年7か月で保定装置に移行しました。 前歯の後退により口も閉じやすくなり、口元もすっきりしました。
- 治療の概略
- 主訴)口元が出ている
診断)叢生を伴う上顎前突
年齢)25歳
使用装置)マルチブラケット装置 矯正用アンカースクリュー2本 4万 税別
治療方法)抜歯 4|4/4|4
治療期間) 2年7ヵ月 通院回数 33回
治療費用) 中学生~大人 表側85万円 (調整費代含む)税別
※一般的に矯正治療リスクとして、後戻り、疼痛、歯根吸収、歯肉退縮、歯髄壊死、顎関節の症状等が考えられます。
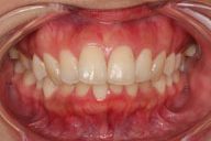
- 治療前
-
- 治療後
-
- リスク・費用など
一般的に矯正治療リスクとして、後戻り、歯根吸収、歯肉退縮、歯髄壊死、治療中の痛みや違和感、保定装置が必要、装置脱離や破損、・虫歯・歯周病のリスク増加、顎関節の症状等が考えられます。
治療期間 中学生以上約2年~2年半 小学生1~4第一段階(子供の矯正) 約1年~1年半治療費用 中学生~大人 表側メタル80万 表側セラミック85万円 上だけ裏側下表側115万 上下裏側145万円
第一段階(子供の矯正)40~42万円矯正治療期間は、歯を動かす距離(歯を移動する距離が多ければ時間がかかる)、骨の反応(同じように力をかけても年齢や性別、骨の性質によっては移動距離がかわる)、およびかみ合わせの完成度の高さ(かみ合わせをより細かく行えば期間が必要になる)によって変化します。
本治療は公的医療保険適用外の自由診療です。治療結果には個人差があります。















