症例10代 女性 前歯で咬めない
14歳 | 女性 | 治療期間:2年9ヵ月開咬(前歯がかみ合わない)
- 治療の概略
- 主訴)前歯で咬めない
診断)開咬
年齢)10代
使用装置)マルチブラケット装置 上下顎 表側(セラミックブラケット)
治療方法)抜歯 上顎両側第一小臼歯および下顎両側第二小臼歯
治療期間) 2年9か月 通院回数 32回
治療費用) 中学生~大人 表側85万円 (調整費代含む)税別
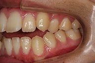
- 治療前
-
- 治療後
-
- リスク・費用など
一般的に矯正治療リスクとして、後戻り、歯根吸収、歯肉退縮、歯髄壊死、顎関節の症状等が考えられます。
治療期間 中学生以上約2年~2年半 小学生1~4第一段階(子供の矯正) 約1年~1年半治療費用 中学生~大人 表側メタル80万 表側セラミック85万円 上だけ裏側下表側115万 上下裏側145万円
第一段階(子供の矯正)40~42万円矯正治療期間は、歯を動かす距離(歯を移動する距離が多ければ時間がかかる)、骨の反応(同じように力をかけても年齢や性別、骨の性質によっては移動距離がかわる)、およびかみ合わせの完成度の高さ(かみ合わせをより細かく行えば期間が必要になる)によって変化します。













